マウスピース矯正に向いている口腔内・向いていない口腔内とは?|矯正専門医が解説
「目立たないから」
「取り外せて楽そうだから」
そんな理由でマウスピース矯正を希望される方は、年々増えています。
透明で目立ちにくく、日常生活に取り入れやすい矯正方法であることは確かです。
しかし、すべての口腔内がマウスピース矯正に適しているわけではありません。
むしろ、向いていない状態で無理にマウスピース矯正を行うと、治療が長引いたり、噛み合わせや仕上がりに不満が残る こともあります。
この記事では、
マウスピース矯正に向いている口腔内/向いていない口腔内 を、
矯正専門医の視点から、できるだけ分かりやすく解説します。
目次
マウスピース矯正の基本的な特徴

まず前提として、マウスピース矯正には次のような大きなメリットがあります。
- 透明で目立ちにくい
- 取り外しができ、食事や歯磨きがしやすい
- デジタルシミュレーションを用いて治療計画を立てられる
一方で、マウスピース矯正には注意すべき特徴もあります。
つまり、
👉 「誰にでも万能な矯正方法」ではない
という点を理解することが非常に重要です。
マウスピース矯正に向いている口腔内の特徴
① 軽度〜中等度の歯列不正

マウスピース矯正が最も力を発揮しやすいのは、
歯の移動量が比較的小さいケースです。
これらは歯体移動が中心となるため、
マウスピースでも安定したコントロールが可能です。
② 骨格的なズレが少ない
上下顎の大きさや前後関係に大きなズレがない場合、
歯の位置調整のみで噛み合わせを整えられるため、マウスピース矯正に向いています。
👉 「歯並び中心の矯正」 が目的の場合、適応しやすいと言えます。
③ 咬合平面の乱れが少ない
マウスピース矯正は、
咬合平面(噛み合わせの傾き)を大きくコントロールするのが苦手です。
- 咬合平面が比較的フラット
- 左右差が少ない
といった口腔内は、マウスピース矯正に向いています。
④ 顎関節・開口量に問題が少ない

マウスピースは常に上下の歯を覆うため、
場合は、症状が悪化する可能性もあります。
一方、顎関節が安定している方は、比較的スムーズに治療を進めやすいです。
⑤ 装着時間を守れる生活スタイル
マウスピース矯正の成否を分ける最大のポイントは、
1日20〜22時間の装着を守れるかどうか です。
このような方は、非常に良い結果が得られやすいです。
マウスピース矯正に向いていない口腔内の特徴
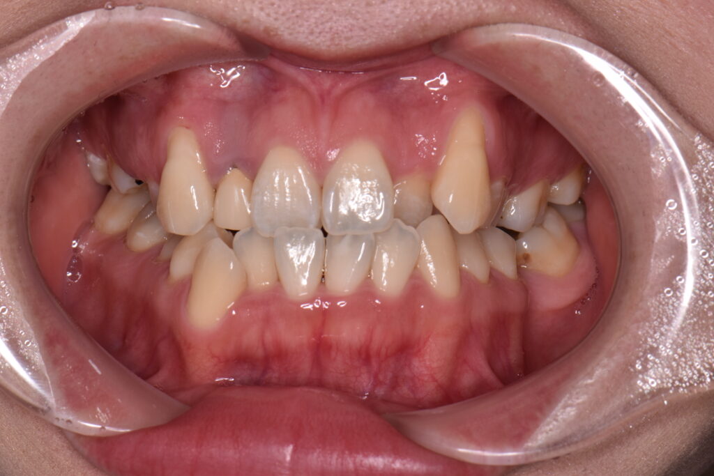
① 重度の叢生(歯の重なりが強い)

歯の重なりが強く、
- 大きなスペースコントロールが必要
- 歯根のコントロールがシビア
な場合、マウスピース単独では限界があります。
👉 ワイヤー矯正の方が短期間・高精度で安全 なケースも多く存在します。
② 骨格性の問題が強いケース
これらは、歯だけでなく 顎の位置関係そのもの が問題になっています。
マウスピース矯正だけで無理に対応すると、
- 噛み合わせが不安定
- 見た目の改善が不十分
といったリスクがあります。
③ 咬合平面の傾きが強い

咬合平面が急峻だったり左右差が大きい場合、
ことも多く、ワイヤー矯正や補助装置の併用 が安全です。
④ 深い過蓋咬合・開咬

- 前歯が深く被さる過蓋咬合
- 前歯が噛み合わない開咬
これらは垂直的コントロールが必要なため、
マウスピース単独では治療が難しい場合があります。
⑤ 装着時間が守れない場合

- 忙しくて付け忘れが多い
- 飲食の回数が多い
- マウスピース管理が苦手
👉 向いていない口腔内 × 装着不良
これは治療失敗の大きな原因です。
マウスピース矯正で無理をした例
適応を超えてマウスピース矯正を行った場合、
といったトラブルが起こることがあります。
特に、重度の叢生や咬合平面の問題を抱えたケースでは、
途中で ワイヤー矯正への切り替え が必要になることも少なくありません。
ワイヤー矯正に切り替えて改善した例

途中でワイヤー矯正に切り替えることで、
- 歯根位置を正確にコントロールできる
- 噛み合わせが安定する
- 治療が一気に進む
ケースも多くあります。
最近では
前半ワイヤー・後半マウスピース のハイブリッド治療も増えています。
「切り替え=失敗」ではありません
途中で治療法を変更することは、
より良い結果を得るための前向きな判断 です。
無理に同じ方法を続けるより、
その時点で最適な方法を選び直すこと が成功率を高めます。
矯正専門医が方法を決めきらない理由
重要なのは「何で矯正するか」ではなく、
「どんな噛み合わせ・歯並びをゴールにするか」 です。
そのため当院では、
- 最初から方法を固定しない
- 経過を見て柔軟に選択
- 必要があれば正直に変更を提案
という姿勢を大切にしています。
マウスピース矯正が向いているかは自分で判断できる?

結論として、
ご自身だけで正確に判断することは困難 です。
- 骨格
- 歯根の位置
- 咬合平面
- 顎関節
これらは精密検査を行わなければ分かりません。
だからこそ、
👉 矯正専門医による診断が不可欠 です。
当院が大切にしている考え方

品川矯正歯科では、
- マウスピース矯正が適している方
- ワイヤー矯正が適している方
- 併用が最適な方
を 検査・診断の段階で明確にご説明 しています。
「できるかどうか」ではなく、
「一番良い結果が得られるかどうか」 を基準に治療法を選択します。
まとめ|マウスピース矯正を成功させるために
マウスピース矯正は、
正しい診断 × 正しい適応 × 患者さんの協力
この3つが揃って初めて成功します。
- 向いている口腔内 → 非常に良い結果
- 向いていない口腔内 → 無理をするとトラブル
だからこそ、
「自分に合っているかどうか」を必ず診断してもらうこと が何より重要です。