BEFORE AFTER
症例集(Before-After)
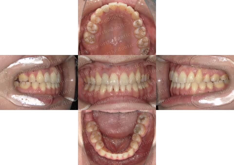
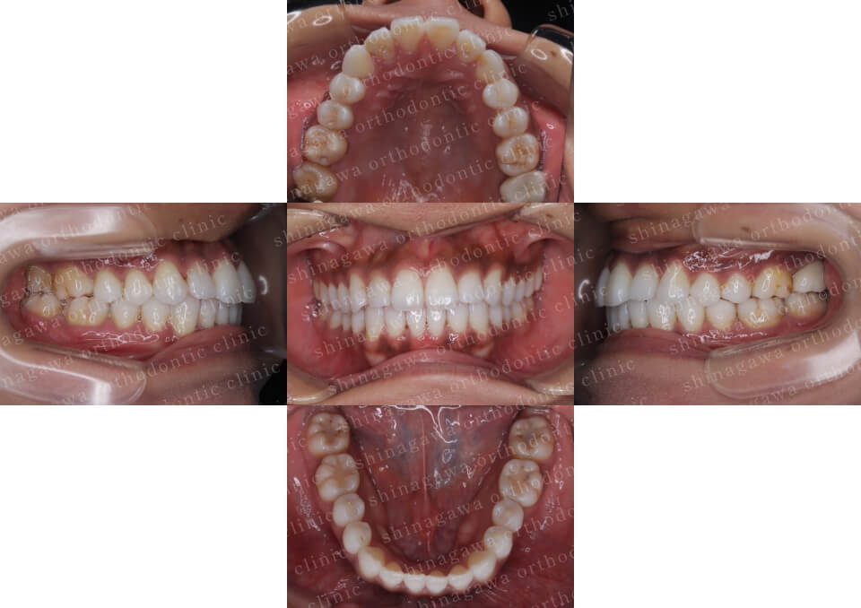
症例1
叢生
| 年齢 | 32 歳 |
|---|---|
| 性別 | 女性 |
| 住所 | 東京都板橋区 |
| 主訴 | ガタガタしている |
| 不正咬合の種類(診断) | 叢生 |
| 装置 | 表ワイヤー |
| 抜歯/非抜歯 | UR5, UL4, LR4 |
| 期間 | 21M |
| 費用 | 935,000円 |
| リスク・副作用 | 矯正治療による歯の移動に伴う痛み, 虫歯, 歯肉退縮, 歯根吸収 |
症例2
叢生、正中不一致
| 年齢 | 17 歳 |
|---|---|
| 性別 | 女性 |
| 住所 | 神奈川県横浜市 |
| 主訴 | ガタガタしている, 上下真ん中ずれ |
| 不正咬合の種類(診断) | 叢生, 正中不一致 |
| 装置 | (マウスピース型矯正装置)アライナー |
| 抜歯/非抜歯 | UR4, UL4, LR4, LL4 |
| 期間 | 18M |
| 費用 | 990,000 円 |
| リスク・副作用 | 矯正治療による歯の移動に伴う痛み, 虫歯, 歯肉退縮, 歯根吸収 |
症例3
下顎前突
| 年齢 | 34 歳 |
|---|---|
| 性別 | 女性 |
| 住所 | 東京都目黒区 |
| 主訴 | 出っ歯 |
| 不正咬合の種類(診断) | 下顎前突 |
| 装置 | 表ワイヤー |
| 抜歯/非抜歯 | UR4, UL4 |
| 期間 | 24M |
| 費用 | 935,000 円 |
| リスク・副作用 | 矯正治療による歯の移動に伴う痛み, 虫歯, 歯肉退縮, 歯根吸収 |
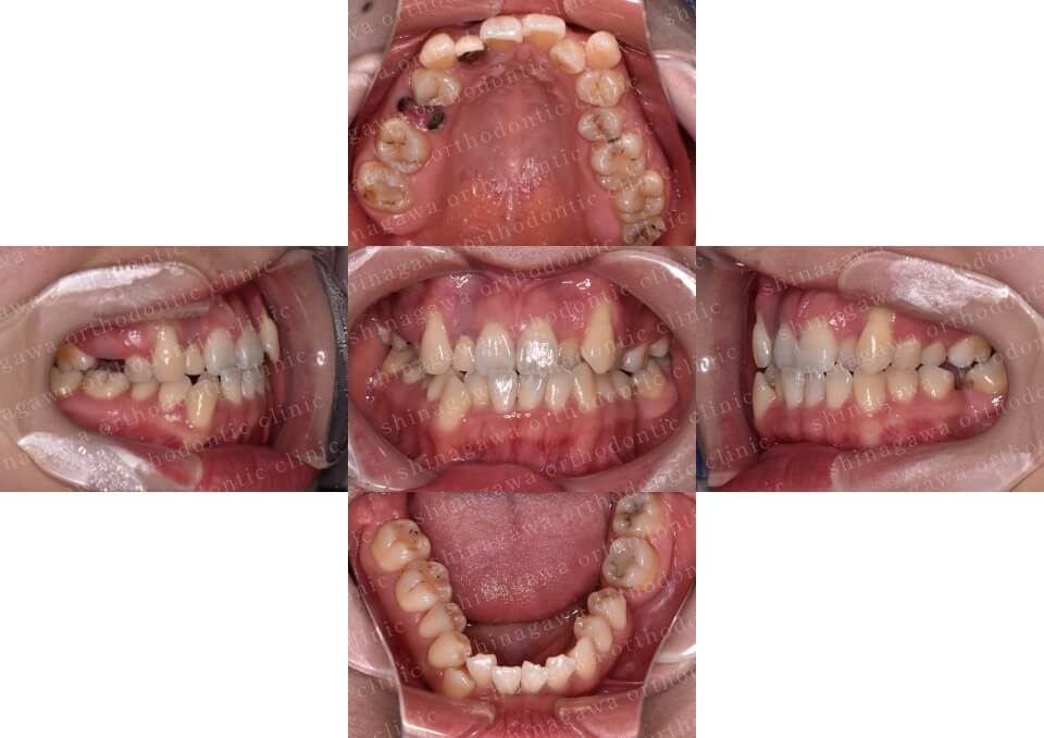
症例5
下顎前突、叢生
| 年齢 | 28 歳 |
|---|---|
| 性別 | 男性 |
| 住所 | 埼玉県浦和市 |
| 主訴 | ガタガタしている, 受け口 |
| 不正咬合の種類(診断) | 叢生, 下顎前突 |
| 装置 | リンガル |
| 抜歯/非抜歯 | UR4, UL4, LR4, LL4 |
| 期間 | 30M |
| 費用 | 1,430,000 円 |
| リスク・副作用 | 矯正治療による歯の移動に伴う痛み, 虫歯, 歯肉退縮, 歯根吸収 |
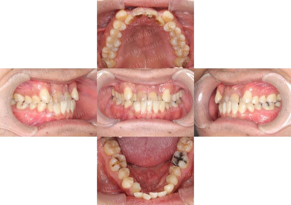
症例6
叢生
| 年齢 | 30 歳 |
|---|---|
| 性別 | 女性 |
| 住所 | 神奈川県横浜市 |
| 主訴 | ガタガタしている |
| 不正咬合の種類(診断) | 叢生 |
| 装置 | リンガル |
| 抜歯/非抜歯 | 非抜歯 |
| 期間 | 16M |
| 費用 | 1,430,000 円 |
| リスク・副作用 | 矯正治療による歯の移動に伴う痛み, 虫歯, 歯肉退縮, 歯根吸収 |
症例7
上下顎前突
| 年齢 | 25 歳 |
|---|---|
| 性別 | 女性 |
| 住所 | 神奈川県川崎市 |
| 主訴 | 出っ歯 |
| 不正咬合の種類(診断) | 上下顎前突 |
| 装置 | リンガル |
| 抜歯/非抜歯 | UR4, UL4, LR4, LL4 |
| 期間 | 32M |
| 費用 | 1,430,000 円 |
| リスク・副作用 | 矯正治療による歯の移動に伴う痛み, 虫歯, 歯肉退縮, 歯根吸収 |
症例8
上顎前突、叢生
| 年齢 | 28 歳 |
|---|---|
| 性別 | 女性 |
| 住所 | 東京都大田区 |
| 主訴 | 出っ歯 |
| 不正咬合の種類(診断) | 上顎前突, 叢生 |
| 装置 | 表ワイヤー |
| 抜歯/非抜歯 | UR4, UL4 |
| 期間 | 20M |
| 費用 | 935,000 円 |
| リスク・副作用 | 矯正治療による歯の移動に伴う痛み, 虫歯, 歯肉退縮, 歯根吸収 |