ブラックトライアングルとは?矯正治療中・治療後に気になる「歯と歯のすき間」の正体と対処法
目次
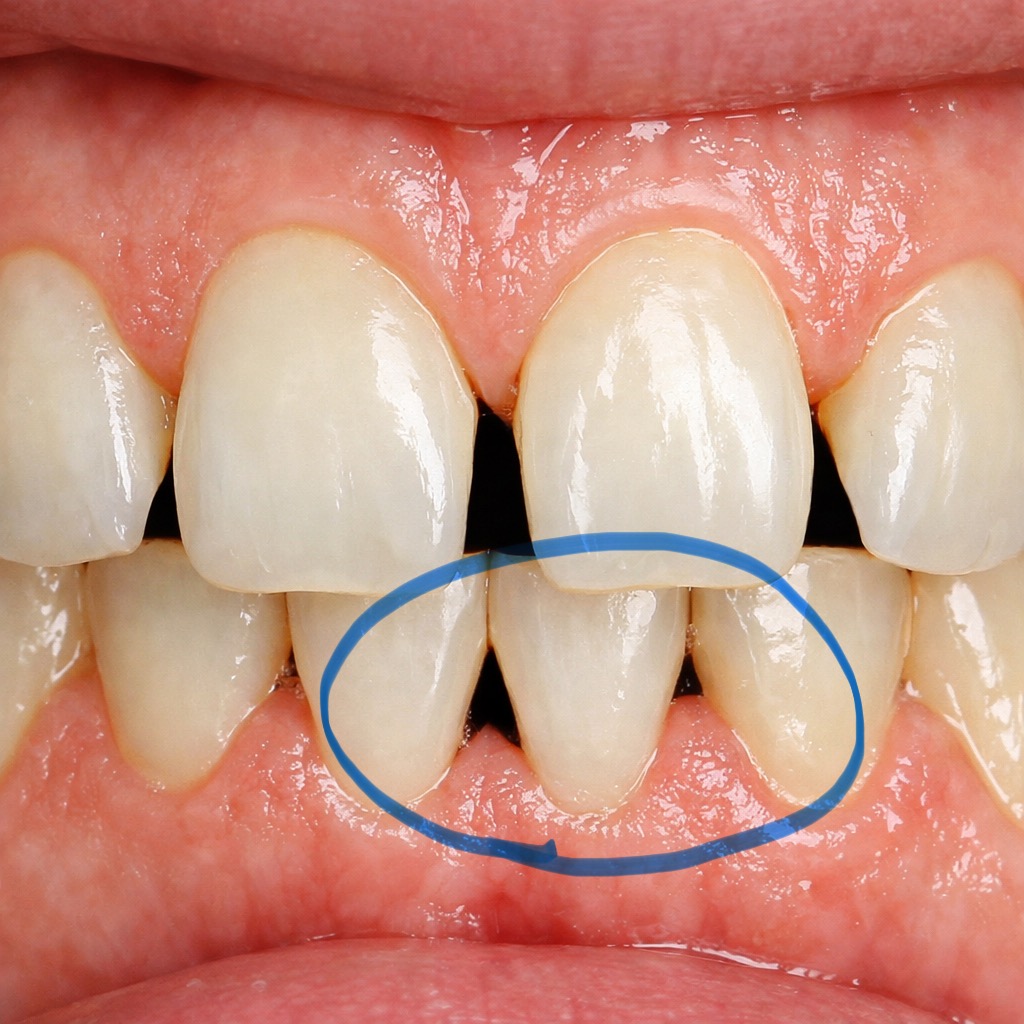
ブラックトライアングルとは?

ブラックトライアングルとは、歯と歯の間の歯ぐき(歯間乳頭)が下がることで、三角形の黒いすき間が見えてしまう状態を指します。
特に前歯部で目立ちやすく、「矯正後に歯並びはきれいになったのに、すき間が気になる」「老けた印象に見える」といったご相談が増えています。
実はこのブラックトライアングル、矯正治療をしたから必ず起こるものではありません。
もともとの歯や歯ぐきの状態、骨の形、治療計画など、複数の要因が関係しています。
ブラックトライアングルができる主な原因
① 歯周病・歯肉炎による歯ぐきの退縮

最も多い原因がこれです。
歯周病によって歯を支える骨が吸収されると、歯ぐきも一緒に下がり、歯間乳頭が失われやすくなります。
特に、
- 成人矯正
- 過去に歯周病治療歴がある方
では、治療前からブラックトライアングルのリスクを抱えていることも少なくありません。
② 歯の形(先が細い・三角形)
歯の形が三角形に近い(歯頸部が細い)場合、歯並びが整うことで歯と歯の接触点が上に移動し、下にすき間ができやすくなります。
これは歯周病がなくても起こる現象で、若い方でも見られることがあります。
③ 矯正治療による歯の移動

歯が重なっていた状態から並ぶと、今まで隠れていた歯間部が露出します。
その結果、「矯正でブラックトライアングルができた」と感じるケースがあります。
実際には、
矯正で新しくできたというより、もともと存在していた条件が見えるようになった
と考える方が正確です。
④ 強すぎるブラッシング・不適切なケア

硬い歯ブラシや強い力での横磨きは、歯ぐきを傷つけ、退縮を助長します。
矯正中は清掃意識が高まる一方で、やりすぎケアがブラックトライアングルの原因になることもあります。
ブラックトライアングルは治る?自然に戻る?
結論から言うと、
一度失われた歯間乳頭が完全に自然回復することは難しいのが現実です。
ただし、
- 軽度の場合
- 矯正治療初期
では、炎症が改善することで見た目が軽減するケースもあります。
重要なのは、
👉 できてから慌てるのではなく、治療前・治療中に予測し、対策すること
です。
矯正治療中・治療後のブラックトライアングル対策
① IPR(歯間削合)による改善

IPRとは、歯と歯の間を0.2〜0.5mm程度、必要最小限だけ整える処置です。
歯の接触面を下方へ広げることで、ブラックトライアングルを目立ちにくくします。
- 見た目改善の効果が高い
- 歯への影響は最小限
というメリットがあり、矯正治療とセットで行われることが多い方法です。
② 矯正計画の工夫(歯の動かし方)

経験のある矯正歯科では、
- 歯の傾斜
- 接触点の位置
- 歯根の平行性
を細かくコントロールし、ブラックトライアングルが出にくい歯並びを目指します。
「並べる」だけでなく「どう並べるか」が重要です。
③ 歯周ケア・メインテナンスの徹底

歯ぐきの炎症を抑えることで、
- 進行を防ぐ
- 見た目を安定させる
ことができます。
矯正中こそ、
④ ダイレクトボンディング(補綴的対応)

矯正後もすき間が気になる場合、歯科用レジンで形態を微調整する方法もあります。
矯正だけでは解決しきれないケースの最終的な仕上げとして選択されます。
ブラックトライアングルは予測できる?
はい、ある程度予測できます。
- 歯の形
- 歯周組織の状態
- 年齢
- 治療前の歯列
これらを精密検査で評価することで、
「起こりやすいかどうか」「どの程度か」を事前に説明することが可能です。
当院では、
👉 ブラックトライアングルのリスクも含めた説明
👉 必要に応じた事前対策
を重視しています。
ブラックトライアングルが不安な方へ
ブラックトライアングルは、
- 矯正治療の失敗
- 必ず起こる副作用
ではありません。
正しい診断と計画、適切なケアがあれば、
多くの場合、最小限に抑える・目立たなくすることが可能です。
「矯正したら歯ぐきが下がるのでは?」
「見た目が悪くならないか不安」
そう感じている方こそ、矯正専門の歯科医院での相談をおすすめします。
まとめ
- ブラックトライアングルは歯ぐき・歯の形・歯の移動が関係
- 矯正治療で必ず起こるわけではない
- 事前の予測と計画が非常に重要
- IPRや治療設計で改善・予防が可能
- 矯正後の仕上げ方法も複数ある