歯根吸収ってなに?
矯正治療を検討している方、またはすでに治療中の方から
「歯根吸収って大丈夫なんですか?」
「矯正で歯の根が溶けるって本当?」
という質問を受けることがあります。
インターネットやSNSでは、歯根吸収に関する不安をあおる情報も多く、必要以上に心配されている方も少なくありません。
この記事では、歯根吸収とは何か、なぜ起こるのか、矯正治療との関係、そして当院での考え方と対策について、分かりやすく解説します。

目次
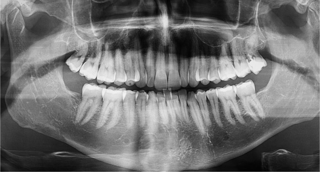
歯根吸収とは?

歯根吸収とは、歯の根(歯根)が短くなる現象のことを指します。
歯は顎の骨の中にしっかりと支えられていますが、外から力が加わったり、炎症が起きたりすることで、歯根の一部が吸収されることがあります。
歯根吸収にはいくつか種類がありますが、矯正治療と関連が深いのは
「外部歯根吸収」と呼ばれるタイプです。
なぜ歯根吸収が起こるのか?
歯根吸収は、矯正治療だけで起こる特別な現象ではありません。
以下のような要因が関与します。

矯正治療では、歯を動かすために力を加えるため、軽度の歯根吸収が起こる可能性があります。
矯正治療による歯根吸収はどれくらい起こる?
多くの研究では、
👉 矯正治療による歯根吸収の大半はごく軽度
👉 日常生活や歯の寿命に影響しない範囲
であることが報告されています。
実際、レントゲンでよく見ないと分からない程度の吸収がほとんどで、患者さん自身が自覚することはほぼありません。

一方で、
- 強い力が長期間加わった場合
- 難症例で歯を大きく動かす必要がある場合
- もともと歯根が短い歯がある場合
には、吸収がやや進行することもあります。
「歯が抜けやすくなる」ことはある?
結論から言うと、
歯根吸収=すぐに歯が抜ける
というわけではありません。
歯は歯根の長さだけで支えられているのではなく、
など、複合的な要素で安定しています。
軽度の歯根吸収があっても、適切な噛み合わせが得られれば、長期的に問題なく使えるケースがほとんどです。

マウスピース矯正と歯根吸収の関係

「インビザラインなら歯根吸収が起こらない」と思われがちですが、
装置の種類に関係なく、歯を動かす以上、歯根吸収の可能性はゼロではありません。
ただし、
- 力を細かくコントロールできる
- 移動量を段階的に設定できる
といった点から、適切に管理されたマウスピース矯正では、過度な力がかかりにくいという利点があります。
重要なのは、装置の種類よりも
👉 診断力と治療計画
👉 力のコントロール
👉 定期的なチェック
です。
歯根吸収が起こりやすい歯は事前に分かる?
多くの場合、治療前のレントゲン検査で
- もともと歯根が短い歯
- 過去の外傷が疑われる歯
をある程度把握することができます。
当院では、治療前にこれらのリスクを評価し、
歯根吸収のリスクが高い歯については、力のかけ方や移動量を慎重に設定します。
治療中に歯根吸収が見つかったら?
矯正治療中に歯根吸収が疑われた場合、当院では以下の対応を行います。
- 力の強さや方向の見直し
- 一時的に歯の移動を休止
- 治療計画の変更
- 必要に応じて治療の中断
無理に治療を続けることはありません。
歯を守ることを最優先に考え、患者さんと相談しながら進めます。

歯根吸収と上手に向き合うために大切なこと
歯根吸収は、
「怖いもの」「避けるべきもの」
として捉えるのではなく、正しく理解し、管理することが重要です。
そのために大切なのは、
- 矯正専門医による適切な診断
- 無理のない治療計画
- 定期的な通院とチェック
- 装置の正しい使用
です。
品川矯正歯科の考え方
当院では、
「歯を並べること」よりも「歯を守ること」を重視しています。
歯根吸収のリスクがある場合には、
- 事前にしっかり説明
- 治療目標のすり合わせ
- 安全性を優先した治療計画
を行ったうえで治療を進めます。
不安なことや疑問があれば、どんなことでもご相談ください。
まとめ|歯根吸収は“管理するもの”
- 歯根吸収は矯正治療に伴い起こることがある
- 多くは軽度で、日常生活に支障はない
- 大切なのは「起こさないこと」ではなく「管理すること」
- 専門的な診断と適切な治療で、リスクは最小限にできる
矯正治療を安心して受けていただくために、
正しい知識を持つことが何より大切です。
